Gymnopilus bellulus (Peck) Murrill (1917)
Sinonimi:
Agaricus bellulus Peck, Bull. Buffalo Soc. nat. Sci. 1(2): 51 (1873) [1873-1874]
Flammula bellula (Peck) Pilát, Agaric. Europae. clavis. dichot.: 351 (1951)
Fulvidula bellula (Peck) Joss., Bull. trimest. Soc. mycol. Fr. 64(1-2): 23 (1948)
Gymnopilus bellulus (Peck) Murrill, N. Amer. Fl. (New York) 10(3): 200 (1917) var. bellulus
Gymnopilus bellulus var. sirsinus S.M. Kulk., Geobios, New Rep. 9(1): 16 (1990)
Naucoria bellula (Peck) Sacc., Syll. fung. (Abellini) 5: 841 (1887)
Naucoria intertrunca Pilát, Acta Mus. Nat. Prag. 9(2): 55 (1953)

Etimologia: Gymnopilus dal greco “gymnós”= nudo e da “pílos”= cappello, berretto, per il cappello privo di rivestimento, e bellulus dal latino “béllus”= bello, graziosso, per il colore.


 

Cappello 5-20 mm di diametro, emisferico, poi convesso, liscio, opaco, arancio-ruggine, bruno-ruggine con una sfumature arancioni, margine liscio, in certi esemplari eccedente.
Lamelle adnato-smarginate, fitte, intercalate da lamellule, mediamente ventricose, giallee-pallido, ocracee, giallo-bruno, infine giallo ruggine, filo lamellare da concolore a leggermente più chiaro, da regolare a leggermente ciliato.
Gambo 10-25 mm, cilindrico con base un po’ bulbosa, pieno poi fistoloso, giallastro-ruggine a bruno-ruggine, fibrilloso-tomentoso.
Carne esigua, concolore alla superficie esterna.
Odore insignificante.
Sapore amarognolo.
Habitat legno marcescente Pino silvestre(Pinus sylvestris).

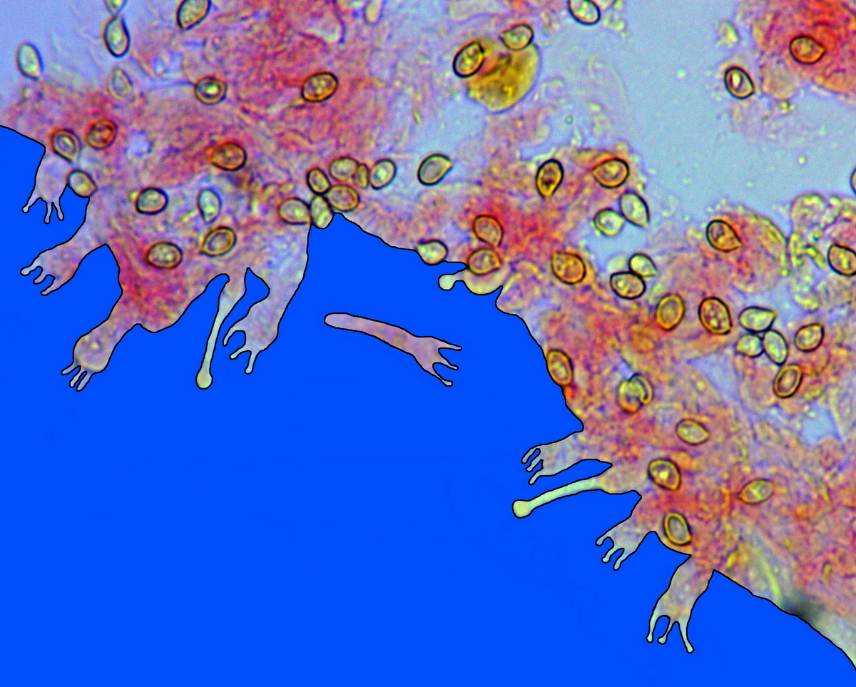
Microscopia:
Spore: 2: ellissoidali, subovoidali, larmiformi a forma di seme di mela, verrucose, (4,43)4,52-5,05-5,78(6,07) × (2,70)2,97-3,13-3,65(3,93)µm, (n° 50), Q= (1,34 )1,4 - 1,7(1,90), media 5,08 × 3,26µm, Qm=1,56.
Basidi: clavati, tetrasporici, con strozzatura mediana, (16,05)17,97-18,665-22,23(25,54) × (4,47)4,52-5,465-5,71(5,95)µm.
Cheilocistidi: 2: lageniformi con lungo collo e con testa capitata, (14,76)15,36-22,87-30,27(32,69) × (2,74)3,00-3,775-4,75(5,08)µm.
Caulocistidi: 2: ± simili ai cheilocistidi
Pileipellis: ife da parallele a aggrovigliate, (2,12)3,33-4,61-5,38(5,99)µm, con pigmento giallastro.
Subpellis: composta da ife più larghe, (7,22)7,71-9,11-10,34(10,68)µm, pigmento liscio o incrostante bruno-giallastro.
Giunti a fibbia presenti.

Ambiente: Boschi di aghifoglie


[< Precedente] [HOME] [Seguente >]